Intervento record, rimossi 526 denti ad un bimbo di 7 anni

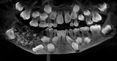
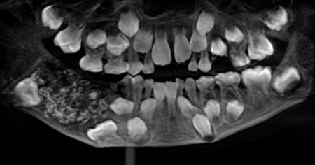
Il piccolo paziente è stato portato al Saveetha Dental College con una mascella molto gonfia
Il piccolo paziente è stato portato al Saveetha Dental College con una mascella molto gonfia
CHENNAI - I medici hanno rimosso 526 denti dalla bocca di un bambino di 7 anni. L'intervento, durato cinque ore, è stato effettuato a Chennai (India). Il piccolo paziente è stato portato al Saveetha Dental College con una mascella molto gonfia.
«Questo è il primo caso in assoluto documentato in tutto il mondo in cui sono stati trovati così tanti piccoli denti in un singolo individuo», hanno spiegato i medici. Questa condizione è nota come odontoma composto, probabilmente dovuta a un sovrannumero di germi dentari.
I denti sono stati trovati all'interno di una sacca della mascella inferiore del bambino, ogni dente aveva dimensioni variabili da 0,1 a 15 millimetri. I chirurghi hanno detto che anche il pezzo più piccolo aveva una corona, una radice e lo smalto.
«I genitori del bambino - ricostruisce il Saveetha Dental College sul proprio sito, illustrando il caso con tanto di foto - hanno fatto visitare il figlio per la prima volta in ospedale quando aveva 3 anni, dopo aver notato il gonfiore nella mascella inferiore destra. Ma il bimbo non aveva collaborato con i medici e la sua condizione all'epoca non è stata diagnosticata. Così la massa è aumentata, arrivando ad assumere i contorni di una sacca e a pesare circa 200 grammi».





Su alcuni temi riceviamo purtroppo con frequenza messaggi contenenti insulti e incitamento all'odio e, nonostante i nostri sforzi, non riusciamo a garantire un dialogo costruttivo. Per le stesse ragioni, disattiviamo i commenti anche negli articoli dedicati a decessi, crimini, processi e incidenti.
Il confronto con i nostri lettori rimane per noi fondamentale: è una parte centrale della nostra piattaforma. Per questo ci impegniamo a mantenere aperta la discussione ogni volta che è possibile.
Dipende anche da voi: con interventi rispettosi, costruttivi e cortesi, potete contribuire a mantenere un dialogo aperto, civile e utile per tutti. Non vediamo l'ora di ritrovarvi nella prossima sezione commenti!