Operato d'urgenza a causa di una pila a bottone

Durante i periodi di lockdown è stato osservato un aumento dei casi. Il pericolo è alto
Ora i pediatri elvetici uniscono le forze per sensibilizzare i genitori sulla questione
Durante i periodi di lockdown è stato osservato un aumento dei casi. Il pericolo è alto
Ora i pediatri elvetici uniscono le forze per sensibilizzare i genitori sulla questione
BASILEA - Si trovano soprattutto in diversi giocattoli e negli orologi. E diventano estremamente pericolose nel caso che siano ingoiate da un bambino. Stiamo parlando delle pile a bottone, che in pochi secondi possono causare ustioni all'interno dell'esofago.
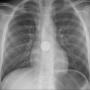
È quanto ha rischiato il piccolo Elias*, un bimbo di dieci mesi che aveva improvvisamente smesso di mangiare. I genitori lo hanno portato al pronto soccorso dell'ospedale pediatrico, dove una radiografia ha permesso d'identificare un corpo estraneo all'interno dell'esofago. Un intervento d'urgenza sotto anestesia totale ha permesso di rimuoverlo: si trattava di una pila a bottone. Sembra che il bambino l'abbia tolta da un telecomando.
Nell'esofago del piccolo Elias ha avuto inizio una reazione chimica, che ha causato un'ustione. Ma il bambino ha avuto fortuna: la rapida decisione di portarlo in ospedale e l'immediato intervento hanno permesso di limitare le conseguenze.
L'episodio lo racconta l'ospedale pediatrico universitario di Basilea (UKBB) sul suo blog in occasione della giornata mondiale dedicata alle pile a bottone, che cadeva lo scorso 12 giugno. E quello di Elias non è un caso raro. Anzi, durante il periodo di lockdown è «aumentato in maniera drammatica» il numero di bambini che hanno ingoiato una pila, come mostra uno studio condotto in Italia. E lo confermano anche i medici di altri paesi. In Svizzera i pediatri hanno pertanto unito le forze per sensibilizzare i cittadini su questo pericolo.
Bastano pochi minuti - Quando un bambino ingoia una pila a bottone, la sua vita potrebbe cambiare radicalmente. I genitori non sono pienamente consapevoli del pericolo, spiega l'UKBB. Il dispositivo potrebbe causare conseguenze gravi già pochi minuti dopo essere stato ingoiato. Si tratta in particolare di ustioni all'esofago o alla trachea. Ustioni per le quali molti bambini in tutto il mondo ora vivono con gravi disabilità. In determinati casi, un incidente del genere potrebbe persino essere letale.
Di solito, il pericolo riguarda in particolare bambini molto piccoli e neonati, che non sono in grado di dire ai genitori cosa hanno ingoiato. Una situazione, questa, che potrebbe ritardare la rimozione della pila.
*Nome modificato





Su alcuni temi riceviamo purtroppo con frequenza messaggi contenenti insulti e incitamento all'odio e, nonostante i nostri sforzi, non riusciamo a garantire un dialogo costruttivo. Per le stesse ragioni, disattiviamo i commenti anche negli articoli dedicati a decessi, crimini, processi e incidenti.
Il confronto con i nostri lettori rimane per noi fondamentale: è una parte centrale della nostra piattaforma. Per questo ci impegniamo a mantenere aperta la discussione ogni volta che è possibile.
Dipende anche da voi: con interventi rispettosi, costruttivi e cortesi, potete contribuire a mantenere un dialogo aperto, civile e utile per tutti. Non vediamo l'ora di ritrovarvi nella prossima sezione commenti!