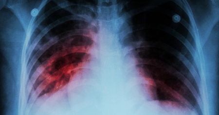
Tubercolosi, casi in crescita anche in Svizzera

La malattia continua a mietere ogni anno più di un milione di vittime in tutto il mondo. Nel 2025 i casi sono aumentati anche nel nostro Paese.
ZURIGO - Nella privilegiata Svizzera molti pensano che la tubercolosi appartenga al passato, ma la realtà è ben diversa: dopo una breve parentesi in cui il COVID-19 è stato la malattia infettiva più mortale al mondo, ora il primato è tornato alla tubercolosi.
Sebbene da decenni esistano trattamenti efficaci, la malattia continua a mietere ogni anno più di un milione di vittime in tutto il mondo. Nel 2025 i casi sono aumentati anche nel nostro Paese.
Per l'esattezza, lo scorso anno 543 persone hanno contratto la tubercolosi, 122 in più rispetto al 2024. Questi casi riguardano persone giunte qui da Paesi in cui la malattia è particolarmente diffusa. Per contro, non si rileva un aumento dell’incidenza tra le persone nate nella Confederazione.
Sotto controllo in Svizzera - In Svizzera il rischio di contrarre la tubercolosi è molto basso, e se tuttavia la malattia dovesse presentarsi può essere trattata con successo. In caso di diagnosi precoce, ci sono buone possibilità di guarigione senza conseguenze per la salute. Ad ogni modo, per garantire il pieno recupero, i medicinali prescritti devono essere assunti regolarmente ogni giorno per diversi mesi. Gli uffici cantonali della sanità, i medici e gli specialisti dei servizi cantonali per la tubercolosi tengono sotto controllo questa patologia soggetta a obbligo di dichiarazione.
Diffusa e temuta nei Paesi a basso reddito - Nei Paesi meno privilegiati la tubercolosi resta un grave problema socio-economico, che non deve essere dimenticato. Per effetto della crescita demografica, unità a fattori come instabilità sociale e politica, condizioni igieniche e di vita precarie, malnutrizione e mancanza di accesso ai medicinali e all’assistenza sanitaria, un numero crescente di persone rischia ancora oggi di contrarre la tubercolosi.
Una malattia che è quindi un chiaro esempio delle disuguaglianze globali, poiché colpisce più duramente dove non c’è accesso alle cure.
Centro di competenza tubercolosi
Su incarico dell’Ufficio federale della sanità pubblica, la Lega polmonare svizzera gestisce il Centro di competenza tubercolosi, che con un simposio annuale e corsi di formazione continua assicura un aggiornamento costante del personale sanitario impegnato nella lotta alla malattia. Il Centro di competenza è inserito in una rete internazionale, supporta la sorveglianza epidemiologica nazionale e rappresenta il punto di riferimento svizzero per organizzazioni, pazienti e cittadini.



